テクノロジー「無麻酔の脳手術」

記事
IT・テクノロジー
展示用_edited.jpg

背景展示用_edited.jpg




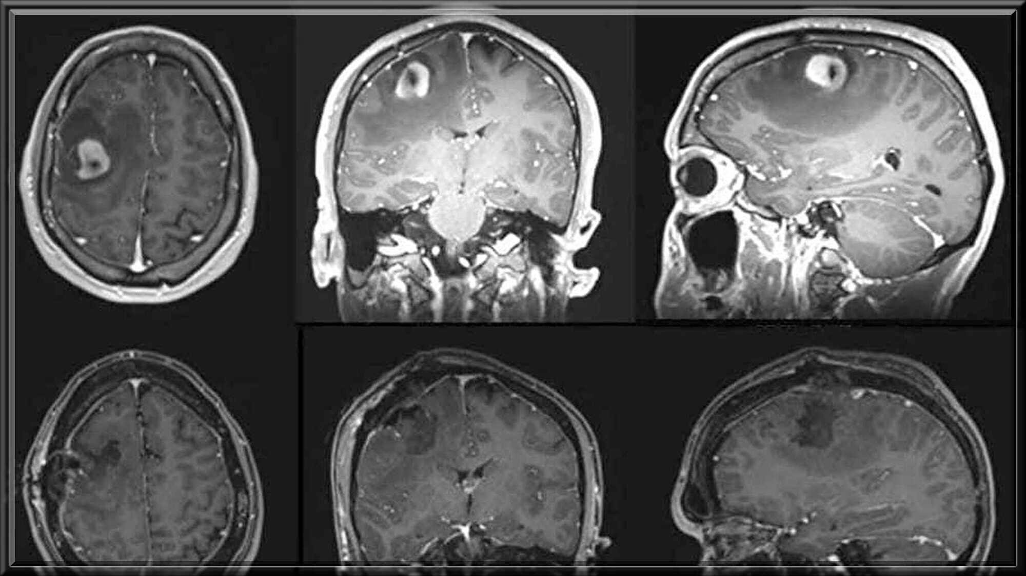
【脳腫瘍】



米フロリダ州出身のミュージシャンの
クリスチャン・ノーレン氏は
脳内に悪性腫瘍が見つかった事で
切除手術を受けました。


でもノーレン氏は最初麻酔をかけられ
その後脳を切開したあと腫瘍切除の時
麻酔から目覚めてギターを弾きながら
脳腫瘍切除が行われました


ノーレン氏が自分に異常がある事に
気が付いた訳はギターを演奏してる時
毎日徐々にギターが弾き難くなり
手が動かなくなってきたからです


そして検査する為米マイアミ大学の
シルベスター総合がんセンターに行き
ノーレン氏の右前頭葉に大きな
神経膠腫があるのを発見しました


神経膠腫は神経上皮細胞から発生する
悪性脳腫瘍で右前頭葉は体の左半身の
動きを制御したり発話や言語能力や
その他の認知機能と関連しています


ノーレン氏の身にもこの症状が出て
「左半身の感覚がないように感じ
腰から上は腕が動かせず顔の左半分も
引きずられているようだ」と話します


診断後医師から悪性腫瘍の切除手術が
必要と言われて更に手術をしている間
ギターを何曲か弾き続けてほしい
そう要求をされたのです


〓=〓=〓=〓=〓=〓=〓=〓=〓





【異常確認方法】



実はこの方法は脳外科手術をする時の
普通の方法で運動や言語能力に関わる
重要な脳領域の手術の場合医者は
患者の意識を保たせる事を望みます


手術によって運動や言語能力に関わる
脳領域を傷つけないかリアルタイムで
確認する為で間違った所を刺激すると
患者の運動や発話にすぐ異変が出ます


なので患者の反応を確認しながら
重要な脳領域を避けることができれば
術後も正常な運動や言語能力を
維持することが可能なのです


もし全身麻酔状態だと反応がないため
重要な脳領域を傷つけても解らず
術後不幸な結果を生まないためにも
医師は患者に起きててほしいのです


もし患者の目が覚めた後に
身体機能の異常に気付いても
もはや後の祭りでどうにもならず
失敗が許されません


脳は痛覚がなく直接脳を触っても
患者は触られてる事が全く分からず
患者は術中に読書したり歌ったり
バイオリンを弾かせたりしてます


ノーレン氏はプロのバンドマンなので
手術中ギターを弾いてもらう事になり
もし演奏に関わる領域を刺激すると
彼の演奏にも異変が生じます

qhITZl5ck6FTgM21710794976_1710795009.jpg

〓=〓=〓=〓=〓=〓=〓=〓=〓





【手術方法】



ノーレン氏も覚醒状態での手術を
今後音楽活動ができるかどうかの
命運がかかっていたから迷う事なく
受け入れたそうです


ノーレン氏は「手術の不安や恐怖より
全身麻酔で手術を受ける事の方が
リスクが大きかった」と話し
演奏しながらの手術が敢行されました


具体的な手術方法としてはまず
開頭手術の段階までは麻酔で眠らせ
悪性腫瘍を切除する準備が整った時に
そのタイミングで起きてもらいます


手術中ノーレン氏はギターで
何曲かのロックを演奏しその選曲には
デフトーンズやシステムオブアダウン
といった人気バンドの曲もありました


結果ノーレン氏は演奏を乱す事なく
悪性腫瘍を除去することに見事成功し
手術の翌日には家に帰宅しできて
病状の回復も目覚ましいようです


安全を期すためノーレン氏は
術後数週間あまり体を動かさない様に
医師から指示されてましたが
嬉しくてそうはいかなかったようです


現在左半身の麻痺もなくなり
正常な生活に戻って毎日ジムに通い
ギターの演奏も気が済むまでしてて
バンド活動も始めてます



Jgv7KIY4V3WbDz61710795087_1710795114.jpg

サービス数40万件のスキルマーケット、あなたにぴったりのサービスを探す ココナラコンテンツマーケット ノウハウ記事・テンプレート・デザイン素材はこちら